Greetings from the Upper East Side! My first week at the
Hospital for Special Surgery (HSS) has gotten off to a quick start. Over the
summer, I will be working on a few projects with Dr. Laura Donlin (a Principal Investigator
in the HSS Research Institute, https://www.donlinlab.com/)
and Dr. David Fernandez (an Assistant Attending Physician at HSS, https://www.hss.edu/physicians_fernandez-david.asp).
The main focus of my time in New York will be to get a collaborative
project between Dr. Donlin, Dr. Fernandez, and my labs back in Ithaca moving. I
will talk much more in depth on the fascinating biology and medical
consequences of our work later on this summer, but broadly speaking, we will be
using single-cell genomics to look at T-cell clonal expansion in myositis
patients. I am really excited to dive into the immunology and to apply some new
bioinformatics tools that have recently come out (more on those later as well…).
Excitingly, we have already collected and processed our first patient sample!
We use an adapted version of a protocol from Ben Cosgrove’s lab (one of my
Ithacan PhD advisors) to dissociate patient muscle biopsies. I took a few
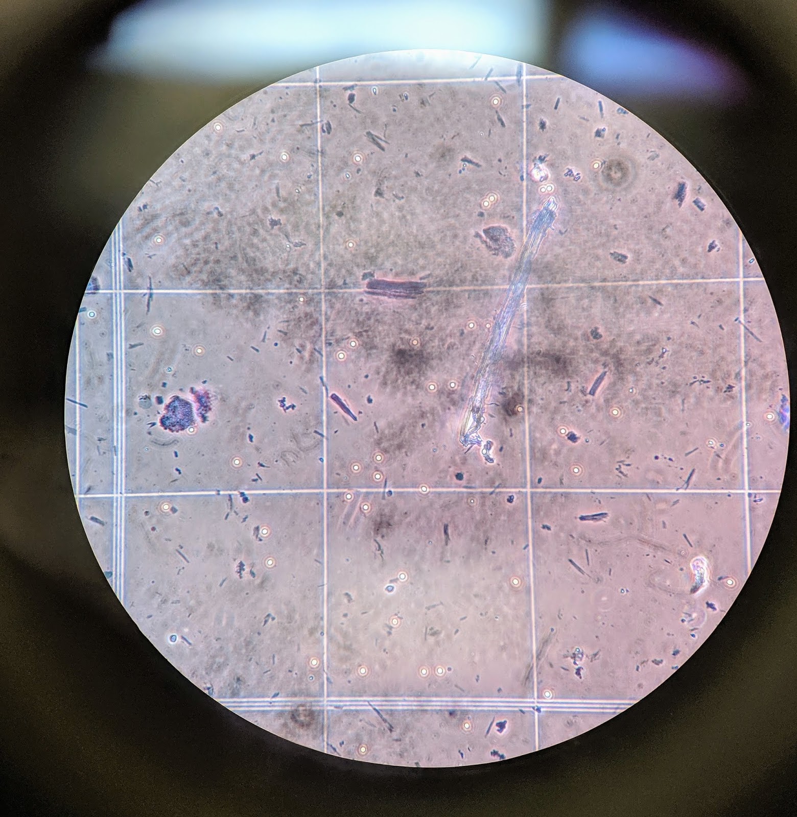
pictures with my non-gloved hand to document the experience. The first is a
picture of the muscle biopsy collected by Dr. Fernandez and the second is the
fully-dissociated sample stained with trypan blue (for cell counting), at 20X
magnification.
From this 50mg sample, we can extract about two million cells. Those cells can be frozen for a later time, or directly taken to perform any number of experiments. Our plans are to use single-cell RNA sequencing to look at changes that occur in the transcriptomes of certain subtypes of myositis as well as to sequence the T-cell receptor gene and look at the clonal diversity of T-cells in these patients. This project especially excites me because it combines the work I am currently doing at Cornell (single-cell genomics in the context of muscle stem cell biology) with some of the work I did during my postbac fellowship at the National Human Genome Research Institute (the genetic foundations of clonal expansion in leukemia).
On top of this lab work, I am also excited to get back into
the clinic and meet patients. During my senior year at Georgia Tech I had the
opportunity to see a variety of orthopedic surgeries. At the NIH I got to meet
the patients whose DNA sequences I was studying. Now that my work is mostly basic
science, my “patients” are all mice. This summer will be a great chance to
remind me of the ultimate reason that I and my classmates are doing research-
to help people.
On top of my clinical experiences and lab work, I want to
use these blog posts as a medium to discuss some of my many opinions. I have
plans to write about topics ranging from my own scientific philosophy, the
necessity (or lack thereof) of a formal dress code in medicine and science, and
my career aspirations. As a teaser, next week I will be talking about some
thoughts I had on the bus ride from Ithaca, inspired by reading a recent
preprint on pseudotime analysis of single-cell RNA sequencing analysis and
Carlo Rovelli’s “The Order of Time” back-to-back.
Follow @CUbmes on twitter to see more about our time in NYC!


No comments:
Post a Comment